ロゴ
駐車場10台あり

長持ちさせるためにより
良い治療選択肢

INFORMATION

いながき歯科

〒811-3405 福岡県宗像市須恵1-1-21

診療時間
9:00~13:00
14:30~18:00

休診日:日曜、祝日
※院長の研修等により休診の場合もありますので
予約外でのご来院の際は電話にてご連絡ください。

ご予約・お問い合わせ0940-33-3833
土曜日も診療!
総合的な幅広い
歯科治療に対応
可能!
移動がしやすい
バリアフリー
設計!

CONCEPT当院の治療方針

当院が治療方針として掲げているのは、患者さまの歯をできる限り長く残すということです。院長はインプラント治療を得意としておりますが、それでも天然歯に勝るものはありません。

また、毎日の歯磨きと歯科医院での定期健診を組み合わせることが、お口の病気予防と早期発見・早期治療につながります。末長くご自分の歯でお食事できるよう、予防診療や様々な治療の選択肢をご活用ください。

MORE

REASON

いながき歯科が選ばれる5つの理由

01

精密機器を活用した総合的な歯科治療で、あらゆるお悩みに対応

当院では、CT・拡大鏡・口腔内スキャナーなどの精密機器を用い、一般歯科から矯正・インプラント・口腔外科まで幅広く対応しています。患者様の生活背景やお悩みに丁寧に寄り添い、症状の原因やお口全体のバランスを踏まえた治療計画をご提案しています。
一本の歯だけでなく将来の健康も見据え、総合的に診療できる体制を整えているため、院内で多くの治療が完結し、わかりやすく通いやすい歯科医院です。

02

丁寧な対話とご説明、患者様に
寄り添った治療サポート

治療を納得して選んでいただけるよう、カウンセリングと説明に力を入れています。専用カウンセリングルームで、じっくりお話を伺い、ご要望に沿った治療プランをご提案いたします。また、各診療チェアにはモニターを設置し、画像や資料を使ってわかりやすく説明を行っています。

03

インプラント

インプラント治療には、しっかり噛めるようになるというメリットがあるのに加えて、前後の健康な歯を傷つけることなく、残りの歯への負担を軽減できるという利点もあります。奥歯が機能しなくなると残りの歯もどんどん悪くなってしまいますが、インプラント治療であれば歯の保存につなげていくことが可能です。

04

衛生管理に対する取り組み

当院では滅菌に力を入れており、大小の滅菌器をご用意することで、滅菌の回転をスピーディーにしております。歯を削るためのタービンなども、一つひとつを滅菌しており、滅菌の不可能なものには使い捨てや消毒などで対応して、院内感染防止のためできるだけの対策を講じております。デジタルレントゲンを用いて、レントゲンよりも10分の1という放射線量を実現しております。また、治療中は明るい診療スペースで、前面の窓ガラスから外を眺めていただけますが、プライバシー保護に配慮したつくりになっております。

05

土曜日診療・駐車場完備
誰もが通いやすい歯科医院へ

当院は、平日お忙しい方でも安心して通えるよう、土曜日も診療を行っております。
また、専用駐車場を完備しており、お車での通院も便利です。
院内はバリアフリー設計で、車椅子やベビーカーの方もそのままお入りいただけます。
お子様連れの方にはキッズスペースをご用意し、ご家族皆さまにとって快適な環境づくりを心がけています。

MEDICAL

診療内容

医院紹介

view

インプラントについて

view

矯正について

view

FLOW

診療の流れ

  • 01.受付・問診表の記入

    受付で問診表をお渡ししますので、待合室でゆっくりご記入ください。
    問診表はこれからどのような治療をしていくかを決める重要な資料となります。
    患者様がどのようなことでお困りなのか、歯科以外の病歴などもないかなどもご記入いただきますよう、お願いします。
    また気になる症状がありましたら、どんなことでもご記入ください。ご不明な点は受付スタッフまでご相談ください。

  • 02.初診時検査

    お口の中の状態(むし歯や歯周病、顎の位置など)を調べるために、口腔内規格写真を撮影します。
    また、必要に応じて、レントゲン検査を実施し、顎の位置や背骨の状況、噛み合わせなども確認させていただきます。

  • 03.カウンセリング

    これまで行った検査をもとに、現在のお口の状態をわかりやすくご説明し、必要な治療や今後の流れをお伝えしていきます。検査結果と患者様のご希望を踏まえたうえで、最適な治療計画をご提案いたします。

  • 04.応急処置

    痛みがある場合は、痛みを取り除く処置を行います。
    患者様とコミュニケーションを取りながら、痛くないよう細心の注意を払い、治療いたします。

  • 05.初期歯周病治療

    お口の中を検査し、歯科衛生士が歯周病についてご説明したうえで、歯周病の改善策についてお伝えさせていただきます。
    歯周病が改善しないまま歯科治療を行うと、辛い症状を再発してしまう可能性があるため、一つひとつ確実に治療していきます。

  • 06.治療開始

    治療では、これまでの検査結果をもとに立てた治療計画に沿って、一つひとつの処置を丁寧に進めていきます。
    必要に応じて、お口の状態を確認しながら治療内容の調整も行い、患者様にとって負担の少ない方法を選択します。

  • 07.定期検診・メンテナンス

    仮に良い治療ができたとしても、日々のお手入れが不十分だと、むし歯や歯周病が再発してしまいます。
    そのため、定期検診やメンテナンスを行い、歯とお口の健康が保てるようサポートします。
    また、お手入れの仕方についてアドバイスし、ご自宅でもケアを継続できるようお手伝いいたします。

CONCEPT
MESSAGE

患者さまと二人三脚で、 口内を健康に保っていきたいと 考えています。

お口の健康維持するためには、患者さま自身がお口の中を理解している必要があります。特に問題がないと思っている方も、歯科健診でお口の中がどのような状態にあるのかを把握して、将来的にどうなりたいのかを一緒に考えてみましょう。

私が今まで力を入れて学んできたのは、失った歯を補うインプラント治療です。しかし、患者さまのお口の健康を長きに亘って維持するためには、一つの分野だけに注力せず、総合的な観点による診療が重要だと考えています。

院長・スタッフ紹介

患者さまと二人三脚で、 口内を健康に保っていきたいと考えています。

院長

稲垣 智浩

Tomohiro Inagaki

Q&A

よくある質問

口臭が明らかに奥歯からします。
そこは何年も前から虫歯でしたが場所的に治療が難しいらしく治療をしていません。
最近になり痛みと口臭がそこの歯、またはそこの歯茎からし始めました。
痛みは飲み薬とそこの歯に薬を入れてもらいなくなったのですが、歯周ポケットは7ミリで歯も真っ黒で匂いも強烈です。
ですがそれ以上治療はして貰えません。
何故なのでしょうか。
自分でも分かる程の異臭がしていて、食べ物も美味しくなく、人に合うのも怖いです。
ですが匂いが気になるという事では治療はして貰えないのでしょうか。

A こんにちは、いながき歯科の稲垣です
痛みと口臭があるとのことから何らかの治療は必要であると思われます。
実際にお口の中を拝見してみないと詳しいことは言えませんが、長期間虫歯であったことや匂いも強いことから歯の保存が困難な可能性もあります。
担当の先生とどういった治療が可能なのかをご相談の上、治療の方針を決められると良いと思います。 お大事になさってください。

右前歯の神経が死んでおり、差し歯を入れてましたが、ブラックマージンが気になり今回オールセラミックにしました。
土台は金属が入っており、とくに損傷もなくそのまま使えるとのお話しで、型取りし色味もB2かA2で相談しB2にきめました。
仮歯を外し、できあがった物をはめてみて左前歯との形のバランスを確認しました。
形ばかり気にしていて、色味に気付きませんでしたが先生からの色味の確認はありませんでした。
仮付けとかもなく、セメント?で接着されました。
お会計待ちの時鏡で確認したら歯の色がグレーで、隣との色が合ってませんでした。違和感すぎて外したいほどです。
先生に相談したら金属があるから透けるのは仕方ないと言われました。事前にそんな話しもありませんでした。
土台が金属だとオールセラミックの場合透ける物なんでしょうか。
こちらの歯医者さんは評判もよく、親身な先生でしたのですごく残念な気持ちです。
無償で作り直しをお願いしたいのですが、言うべきではないですかね?
すごく悩んでおり、ご教示頂けると幸いです。

A こんにちは、いながき歯科の稲垣です。
確かに土台が金属の場合、オールセラミックは透けて暗くなる場合があります。しかし、土台の金属の色が透けないように処置することも可能です。
オールセラミックの治療なので、色があってなくて気になっている旨を担当の先生にご相談された方が良いかと思います。

CASE

症例紹介

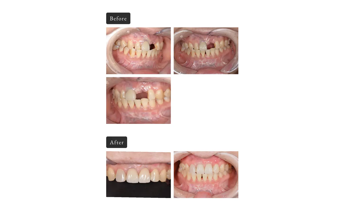
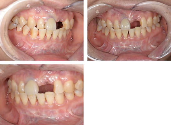
  • インプラントCASE01

    主訴 前歯が折れた
    治療内容 前歯4本の治療(インプラント、オールセラミック、ダイレクトボンディング)
    治療期間 当症例では約6ヶ月 治療期間は骨の状態や治療内容によって異なります
    費用 66万円(税込)(インプラント1本 オールセラミッククラウン2本 ダイレクトボンディング2本)
    想定される
    リスク・副作用
    被せ物やインプラントはご自身の歯と同様、破損のリスクはあります。
    症例写真あり
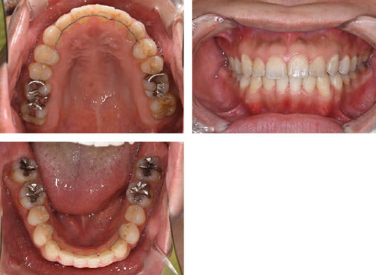
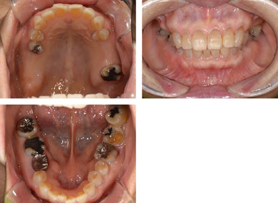
  • インプラントCASE02

    主訴 奥歯で噛めない 全体的に治して欲しい
    治療内容 インプラント4本、オールセラミック、ダイレクトボンディング
    治療期間 当症例では約6ヶ月 治療期間は骨の状態や治療内容によって異なります
    費用 200万円(税込)(インプラント4本 オールセラミッククラウン ダイレクトボンディング)
    想定される
    リスク・副作用
    被せ物やインプラントはご自身の歯と同様、破損のリスクはあります。
    症例写真あり
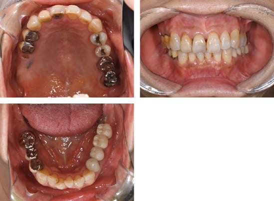
  • インプラントCASE03

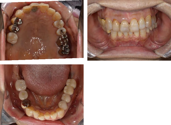
    主訴 奥歯がぐらぐらする (右上の写真の銀歯のところが2本折れていました)
    治療内容 インプラント3本 上に1本 下に2本 それ以外の歯の治療は希望されませんでした
    治療期間 当症例では約5ヶ月 治療期間は骨の状態や治療内容によって異なります
    費用 132万円(税込)(インプラント3本)
    想定される
    リスク・副作用
    被せ物やインプラントはご自身の歯と同様、破損のリスクはあります。
    症例写真あり
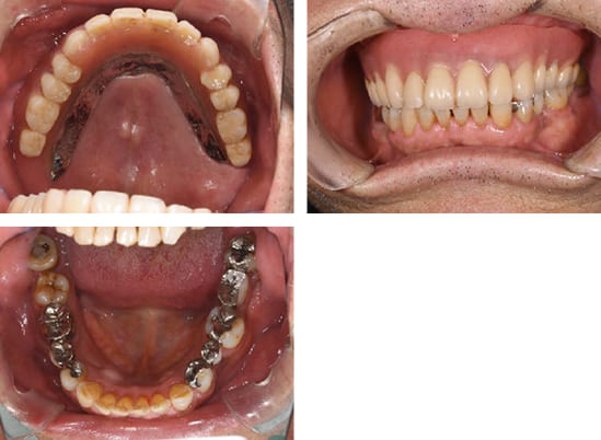
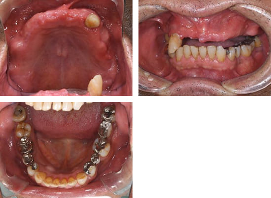
  • インプラントCASE04

    主訴 入れ歯が気持ち悪くて使えない 上顎の奥が気持ち悪い
    治療内容 インプラントオーバーデンチャー インプラント4本で入れ歯を固定
    治療期間 当症例では約6ヶ月 治療期間は骨の状態や治療内容によって異なります
    費用 176万円(税込)(インプラント4本と入れ歯)
    想定される
    リスク・副作用
    義歯は少しづつ削れる可能性があります。インプラントも破損のリスクはあります
    症例写真あり
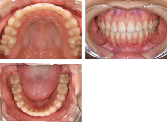
  • 矯正CASE01

    主訴 口を閉じても前歯が噛まない(開口)
    治療内容 矯正治療により歯並びを改善します
    治療期間 当症例では1年6ヶ月(注意 症例によって治療期間は変わります)
    費用 88万円(税込) 別途調整料月に1回3000円かかります
    想定される
    リスク・副作用
    治療はオーダーメイドなので患者様の噛み合わせにより治療内容や期間、方法は変わります。矯正中は若干の痛みや虫歯のリスクがあります。治療後に後戻りが起こる可能性があります。
    症例写真あり
  • 矯正CASE02

    主訴 前歯の歯並びがガタガタしている(叢生)
    治療内容 矯正治療により歯並びを改善します
    治療期間 当症例では2年8ヶ月(注意 症例によって治療期間は変わります)
    費用 88万円(税込) 別途調整料月に1回3000円かかります
    想定される
    リスク・副作用
    治療はオーダーメイドなので患者様の噛み合わせにより治療内容や期間、方法は変わります。矯正中は若干の痛みや虫歯のリスクがあります。治療後に後戻りが起こる可能性があります。
    症例写真あり
  • 矯正CASE03

    主訴 下の歯が出ていて噛み合わせが悪い(受け口)
    治療内容 矯正治療により歯並びを改善します
    治療期間 当症例では2年9ヶ月 ただし途中、本人都合により10ヶ月の治療中断期間がありました
    費用 88万円(税込)別途調整料月に1回3000円かかります
    想定される
    リスク・副作用
    治療はオーダーメイドなので患者様の噛み合わせにより治療内容や期間、方法は変わります。矯正中は若干の痛みや虫歯のリスクがあります。治療後に後戻りが起こる可能性があります。
    症例写真あり
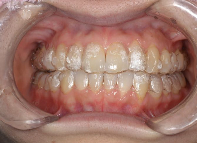
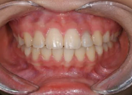
  • マウスピース矯正CASE01

    マウスピース矯正 着用中
    この写真だと少しわかりやすくなっていますが、実際は周りの人に気づかれることはほとんどありません。

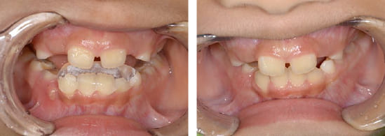
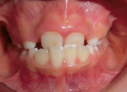
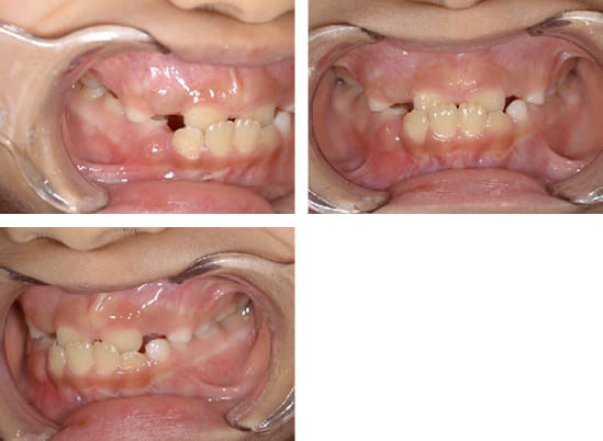
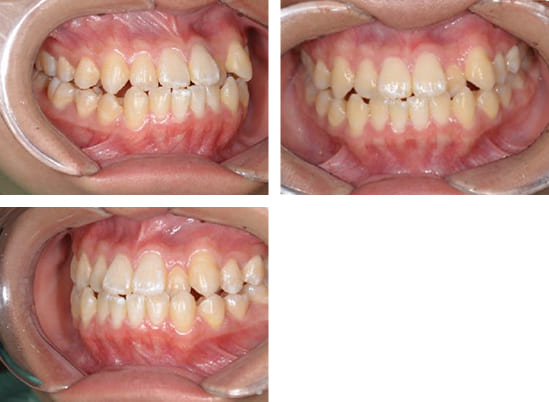
  • 子供の矯正CASE01

    主訴 下の歯が出ている(受け口)
    治療内容 矯正装置により歯並びを改善します 金具はつけていません
    治療期間 当症例では1ヶ月 子供の受け口は出来るだけ早めの治療をおすすめしています
    費用 5万5千円(税込) 別途調整料月に1回3000円かかります
    想定される
    リスク・副作用
    混合歯列期の治療は永久歯の生え替わりの観察が必要です。
    症例写真あり
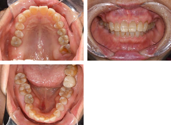
  • 子供の矯正CASE02

    前歯の噛み合わせの改善のみで、患者様の都合により全体的な
    矯正治療はおこなっていません。しかし、若年者のうちに治療
    をすることで最低限の介入で大きな効果をあげることができました。

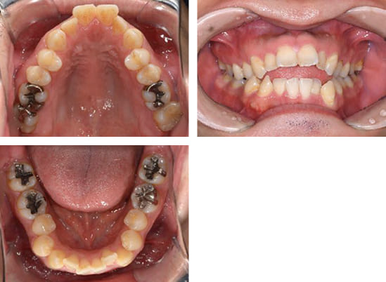
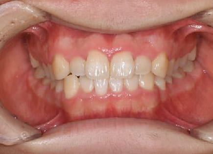
  • 子供の矯正CASE03

    小学生の時に1期治療をおこない、その後、2期治療として
    全体的な矯正治療はおこないました。その為、トータルの期間は
    かかりましたが、上下が潰れたような噛み合わせを綺麗に治す
    ことができました。

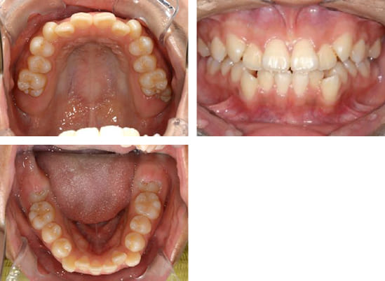
  • 子供の矯正CASE04

    左右はそれぞれ別の患者様です

    適切な時期に治療をおこなえかった場合、大人になってから
    治療が難しくなる場合があります。写真のように上下の骨の
    長さが大きく差がある場合は、あごの骨を切る必要があります。
    その為、早めの治療をおすすめします。

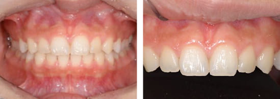
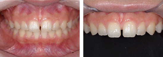
  • ダイレクトボンディングCASE01

    主訴 歯が空いているのが気になる
    治療内容 ダイレクトボンディングにて治療
    治療期間 当症例では1日
    費用 8万8千円(税込) 歯と歯の間は2本分になります
    想定される
    リスク・副作用
    被せ物は壊れたり欠けたりする可能性があります。
    症例写真あり
  • ダイレクトボンディングCASE02

    主訴 銀歯の下が虫歯になっている 銀歯をやりかえたい
    治療内容 ダイレクトボンディングにて治療
    治療期間 当症例では1日
    費用 5万5千円(税込)
    想定される
    リスク・副作用
    被せ物は壊れたり欠けたりする可能性があります。
    症例写真あり

RECRUIT

採用情報

当院では、一緒に働いてくれる新しい仲間を募集しています。ご年配の方が多い地域柄、コミュニケーション能力があり明るく素直な方に、ご応募いただきたいと考えています。患者さまに寄り添って接することができる方であれば、経験者でも新卒でも大歓迎です。

働いているスタッフは、20代から30代の若い年代が多い状況です。患者さまとの会話が弾む、アットホームな雰囲気が自慢です。地域の方々へ医療貢献したい、歯のことで悩む方をサポートしてあげたいとお考えの方は、ぜひ一度当院へご連絡ください。

MORE
ロゴ

〒811-3405
福岡県宗像市須恵1-1-21

ご予約・お問い合わせ0940-33-3833 24時間受付中WEB予約 24時間受付中メール相談
診療時間
9:00~13:00
14:30~18:00

休診日:日曜、祝日
※院長の研修等により休診の場合もありますので
予約外でのご来院の際は電話にてご連絡ください。